- Home
- Patient Stories
Patient Stories
Every smile has a story, and at our The Brace Place, nothing makes us prouder than seeing our patients smile with confidence. Every case is unique, and behind each straightened smile is a personal journey — whether it’s a child gaining confidence, a teen preparing for the future, or an adult finally investing in themselves.
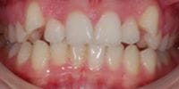
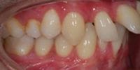
Our happy patients - real stories, real results, and before-and-after transformations showcase the impact of expert orthodontic care. These are just a few of the thousands of patients we’ve helped from across West Yorkshire from our Cross Hills practice.

Patient Stories



Kathryn treated with Ceramic Braces



Amy treated with Fixed Braces



Harry treated with Fixed Braces



Aria treated with Invisalign
Before & After









Love your smile









